Aneurisma de Aorta
El Aneurisma de Aorta es una dilatación permanente de la arteria principal del cuerpo. El más habitual se considera degenerativo, suele detectarse en personas mayores de 50 años, sobre todo varones, y suele presentar un crecimiento progresivo, generalmente lento. Suele tratarse de pacientes hipertensos, y fumadores activos o exfumadores. En pocos casos existen formas raras de Aneurisma de Aorta que pueden afectar a gente más joven, generalmente con alguna enfermedad del tejido conectivo.
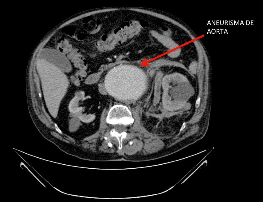
La localización más frecuente es la aorta abdominal (se les denomina triple A, o AAA, Aneurisma de Aorta Abdominal), es decir, por debajo de los riñones, y suele ser asintomático. De manera que su riesgo más temido es la rotura, situación que supone una elevada mortalidad. De ahí la importancia de detectarlo cuanto antes. Es muy habitual que se diagnostique cuando el paciente se somete a una ecografía, TAC o Resonancia por otro motivo; es decir, es un hallazgo casual. Nosotros recomendamos que en pacientes de riesgo, es decir, sobre todo varones, de más de 50 años, sobre todo si son hipertensos y/o fumadores, se hagan de vez en cuando un Ecodoppler aórtico por un Cirujano vascular. Es un prueba muy sencilla no agresiva, ideal para un primer despistaje. Mayor hincapié hacemos en los pacientes con antecedentes familiares de AAA; puede existir cierta tendencia hereditaria.
¿Cuándo hay que tratar un Aneurisma de Aorta Abdominal?
En la decisión influyen muchas circunstancias personales; la más importante de todas es si existe alguna sospecha de que el aneurisma haya producido algún síntoma como dolor. Pero en general, como norma básica, se aconseja tratar el Aneurisma de Aorta Abdominal cuando sobrepasa los 5,5 cm de diámetro. Si bien, como decía, pueden haber situaciones que obliguen a operarlos más pequeños, o esperar a que crezcan algo más. El profesional preparado para evaluar y tratar el aneurisma es el Especialista en Angiología y Cirugía Vascular; desconfíe de otras disciplinas.
Hoy en día disponemos de diversas opciones terapéuticas, y escogeremos la mejor cada caso en función de una decisión individualizada. La cirugía convencional sigue teniendo sus indicaciones; en ella se procede a una reparación abierta del aneurisma sustituyendo el tramo enfermo por una prótesis. Pero hoy en día hay más motivos para decantarnos por una técnica endovascular, en la que una endoprótesis navega por dentro de las arterias hasta colocarla en su sitio; esto nos permite reducir enormemente la agresividad del procedimiento así como los días de ingreso y la recuperación final, aunque obliga a un seguimiento más estricto. Existen además procedimientos híbridos que combinan ambas técnicas.
Para decidir qué técnica emplear, volvemos a insistir en un concepto que mencionábamos antes; es muy importante una decisión individualizada para cada caso. El Cirujano vascular debe analizar los antecedentes del paciente y las características morfológicas del aneurisma para enfocar el tratamiento de la mejor manera posible; además de consensuar una decisión con el propio paciente. La opinión del mismo es muy importante para nosotros.


